Консервативное лечение пиометры у собак и кошек

В данной статье мы рассмотрим патологии матки у репродуктивных животных, владельцам которых было бы желательно эту самую матку сохранить, желательно вместе с репродуктивной функцией.
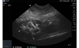
Обычно диагноз «пиометра у собаки» появляется в карте животного, когда на УЗИ находят расширенные, заполненные жидкостью рога матки. Поводом для обращения владельца к врачу могут быть выделения из петли: красноватые, желтоватые или слизистые, вялость животного, отказ от корма, повышенная жажда и, соответственно, увеличение объема мочи, однако расширение рогов матки может быть и случайной находкой.
Под одним общим термином «пиометра» могут подразумеваться разные патологии и, в зависимости от их патогенеза, ветеринар может предложить разные варианты лечения, разным будет и прогноз.
Прежде, чем обсуждать методы лечения, давайте попробуем разобраться, какие заболевания мы имеем в виду.
Кистозная гиперплазия эндометрия

Под действием высоких доз гестагенов (этим общим словом называют прогестерон, выделяемый желтым телом яичника в метэструс и синтетические его аналоги, применяемые для прекращения\предотвращения течки) в стенке матки (и тела и рогов) происходят следующие изменения: утолщается внутренний слой (эндометрий), внутри него увеличиваются в размере и начинают интенсивно функционировать специальные железы, выделяющие секрет, предназначенный для того, чтобы плодам было комфортно и безопасно плавать в рогах матки во время созревания.
Итак, при высоком уровне гестагенов (или высокой чувствительности к гестагенам) внутриматочные железы разрастаются до видимых на УЗИ пузырьков, иногда до
Таким образом мы имеем кистозную (кисты – это пузырьки) гиперплазию (утолщение) эндометрия: гормонозависимое заболевание. Как видите, про гной пока никакой речи не идет и при «стерильной» кистозной гиперплазии эндометрия системных симптомов (жажда, вялость, рвота, отказ от еды) может не появляться.
Однако матка, увы, не является герметично закрытым органом, а вагина любой собаки или кошки неизбежно населена разнообразной микрофлорой. Проникновение через шейку и развитие этой микрофлоры внутри матки и приводит уже к гнойному процессу, то есть к пиометре.
Как всегда, у кошек есть нюансы, а именно: кошки имеют провоцированную овуляцию, поэтому без вязки ни желтого тела, ни прогестерона у кошек быть не должно. Однако некоторые кошки (особенно это характерно для восточных пород) способны к спонтанной овуляции и образованию желтого тела.
Такая же картина развивается в случае применения препаратом типа «Контрасекс», особенно при превышении дозы или неоднократном применении.
При отсутствии тяжелых бактериальных (септических) осложнений такой тип заболевания достаточно успешно лечится применением противогормональных препаратов (антигестагенов) иногда в сочетании с простогландинами, раскрывающими родовые пути.
Послеродовый эндометрит: воспаление (чаще всего бактериальное) внутренней поверхности матки после родов будет иметь аналогичные проявления (расширение рогов матки на УЗИ, мутные выделения из петли), но, поскольку механизм развития заболевания тут другой, лечение также применяется другое: антибиотики широкого спектра действия, промывание матки антисептиками, стимуляция сокращения матки.
Гидрометра: заболевание невыясненной до конца этиологии, редкое, пока существует только хирургический вариант лечения. При гидрометре стенки матки будут истончены, кисты в стенке отсутствуют, выделений и системных проявлений также, скорее всего, не будет.
Вагинит: гнойное воспаление влагалища, также будет сопровождаться гнойными (иногда очень обильными выделениями), однако матка на УЗИ будет интактна (нормальна). Это заболевание прекрасно лечится только местными средствами (санацией).
Существует еще разновидность вагинита: ювенильный вагинит , развивающийся до первой течки, то есть до полового созревания. В данном случае причиной развития патологии является недостаточная гормональная стимуляция (сухость) вагины и после полового созревания такой вагинит проходит самостоятельно.
Как видите, вариантов достаточно много и, несмотря на то, что стерилизация исключает развитие любых патологий матки в силу отсутствия оной, во многих случаях врач может помочь сохранить репродуктивность ценного племенного животного.
Варшавское шоссе, 125 стр.1. тел. 8 (499) 372-27-37
Почитайте отзывы о нашем ветеринарном центре.
Позвоните по номеру 8 (495) 241 64 95 и запишитесь на консультацию прямо сейчас.
(с) Ветеринарный центр лечения и реабилитации животных «Зooстатус».
Варшавское шоссе, 125 стр.1.

