Мастоцитома у собак

Мастоцитома у собак – это опухоль кожи, происходящая из тучных клеток – мастоцитов.
Тучные клетки находятся в соединительной ткани, особенно много их под кожей, вокруг лимфатических узлов, есть они и в селезенке, и в костном мозге. Мастоциты участвуют в поддержании клеточного иммунитета.
Как понять, что у собаки мастоцитома
Мастоцитомы составляют около 20% всех опухолей кожи. Встречаются как единичные, так и (реже) множественные опухоли – мастоцитоз.
Существует породная предрасположенность к заболеванию: чаще всего мастоцитомы встречаются у боксеров, стаффордширских терьеров, бульдогов, бассетов, бостон-терьеров, биглей, шарпеев.
Кроме кожи, мастоцитомы могут поражать селезенку, у собак часто встречаются опухоли кишечника.
Мастоцитомы кожи могут иметь очень разнообразные внешние признаки. Часто их принимают за липомы, бородавки, и даже за дерматит. Однако чаще всего они выглядят как узелки с выпавшей шерстью, часто зудящие и изъязвленные.
Диагностика
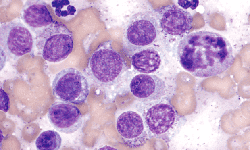
Все кожные поражения у собак должны подвергаться цитологическому анализу. Для диагностики при помощи шприца с иглой отбирается немного тканей опухоли, из которых готовят мазки для исследования. Процедура не требует анестезии. Помимо подтверждения диагноза, цитология опухоли покажет, насколько дифференцированы клетки мастоцитомы, что в некоторой мере позволяет прогнозировать развитие заболевания.
Также собаке необходимо пройти стандартное обследование: общий и биохимический анализы крови, УЗИ внутренних органов.
В зависимости от размеров, множественности опухолей, поражения лимфоузлов и наличия метастазов будет определяться прогноз заболевания и тактика лечения. Также важную роль играют место расположения опухоли (на голове и на нижних частях конечностей мастоцитомы имеют худший прогноз) и скорость роста (быстрорастущие опухоли хуже поддаются лечению). Чем больше времени прошло с момента появления опухоли, тем сложнее и дольше будет лечение.
В случае если мастоцитома оказывается очень злокачественной, у собаки развивается отказ от корма (анорексия), рвота, понос, анемия. Гибель животного наступает достаточно быстро.
Лечение
Для лечения мастоцитом у собак применяется химиотерапия, хирургическое удаление и, редко, лучевая терапия. Хирургическое удаление опухоли всегда проводят с большим захватом здоровой ткани. Чаще всего совместно с удалением опухоли применяется и химиотерапия – не меньше 6 месяцев.
После удаления мастоцитомы собака должна постоянно наблюдаться у онколога. В случае рецидива, чем раньше будет назначено лечение, тем лучше будет прогноз.
При любых кожных новообразованиях как можно скорее покажите собаку ветеринарному врачу-онкологу. Своевременная диагностика и правильное лечение мастоцитомы у собак могут полностью исцелить животное или, если это невозможно – значительно продлить ему жизнь.
(с) Ветеринарный центр лечения и реабилитации животных "Зоостатус".
Варшавское шоссе 125 стр.1. тел. 8 (499) 372-27-37
Почитайте отзывы о нашем ветеринарном центре.
Позвоните по номеру 8 (495) 241 64 95 и запишитесь на консультацию прямо сейчас.
(с) Ветеринарный центр лечения и реабилитации животных «Зooстатус».
Варшавское шоссе, 125 стр.1.

